■症例紹介



佐賀 低価格で始めるFAPホワイトニング法


HOME > 症例紹介 > 症例紹介

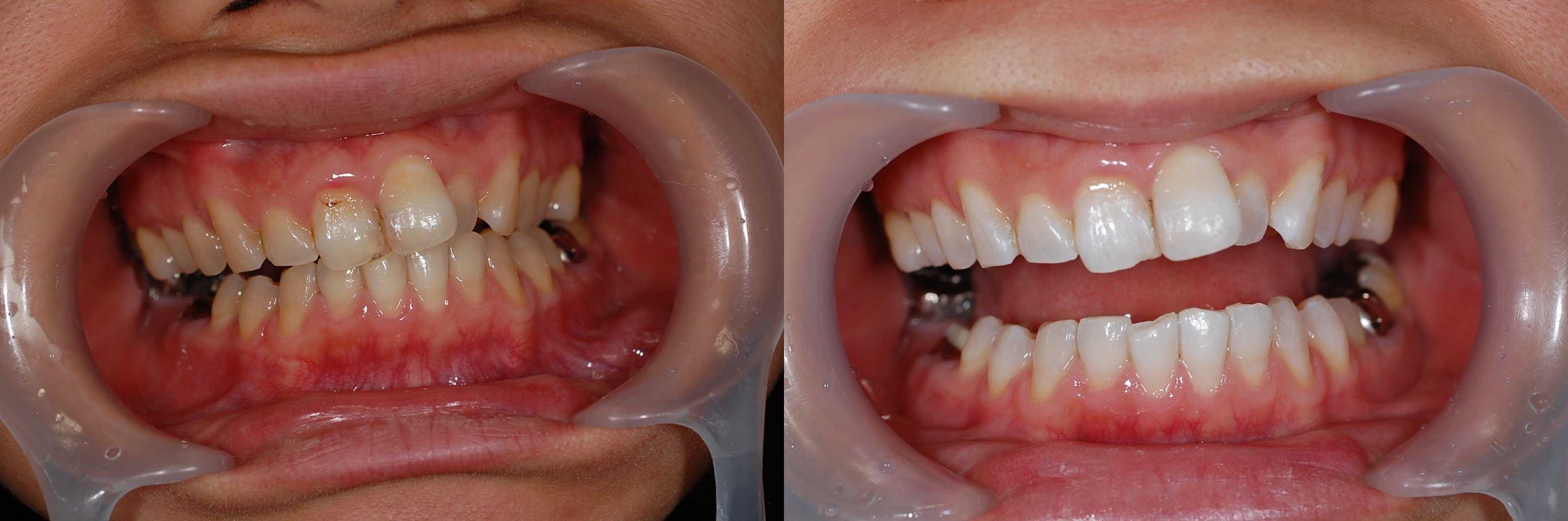
FAPホワイトニング法によるホワイトニング

ホワイトニング前の写真(左側)とホワイトニング後の写真(右側)です。
クリックすると大きな画像で見ることができます。

ホワイトニング前       ホワイトニング後 
1014_14763.jpg

1025_14904.jpg

1034_15018.jpg

1040_15104.jpg

131_3963.jpg

170_4414.jpg

193_4812.jpg

280_6215.jpg

304_6610.jpg

318_7443.jpg

395_7586.jpg

441_8199.jpg