■症例紹介 5



佐賀 低価格で始めるFAPホワイトニング法


HOME > 症例紹介 > 症例紹介 5


クリックすると大きな画像で見ることができます。

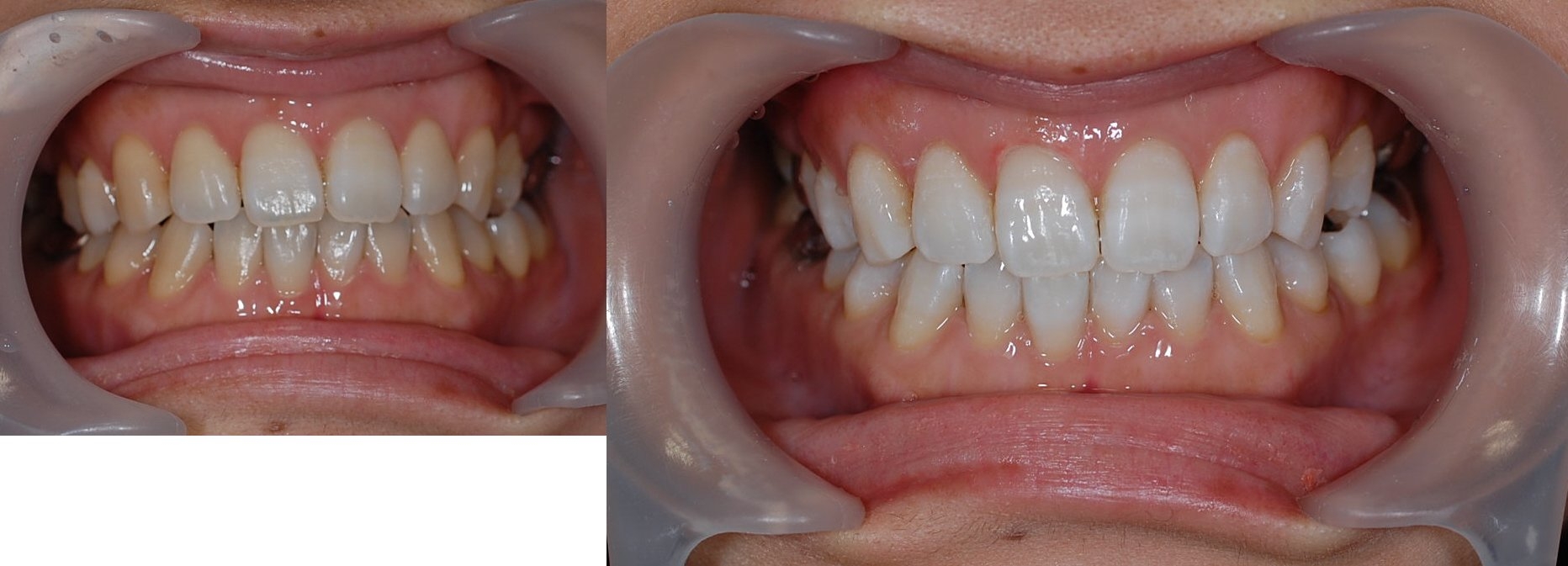
ホワイトニング前       ホワイトニング後
189_4761.jpg

1_1324.jpg

225_5332.jpg

251_5760.jpg

252_5779.jpg

253_5794.jpg

264_9787.jpg

350_7076.jpg

357_7135.jpg

368_7397.jpg

381_7353.jpg

399_7639.jpg

405_7708.jpg

411_7764.jpg

412_7787.jpg

⇒症例紹介 6