■症例紹介 6



佐賀 低価格で始めるFAPホワイトニング法


HOME > 症例紹介 > 症例紹介 6

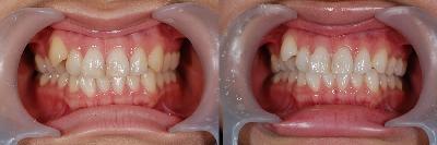
クリックすると大きな画像で見ることができます。

ホワイトニング前       ホワイトニング後
417_7895.jpg

41_1771.jpg

433_8070.jpg

434_8082.jpg

469_8701.jpg

473_8746.jpg

482_14525.jpg

507_9227.jpg

551_9807.jpg

553_9854.jpg

557_9885.jpg

569_10042.jpg

615_10551.jpg

639_10898.jpg

65_2239.jpg

⇒症例紹介 7