■奨励紹介 7



佐賀 低価格で始めるFAPホワイトニング法


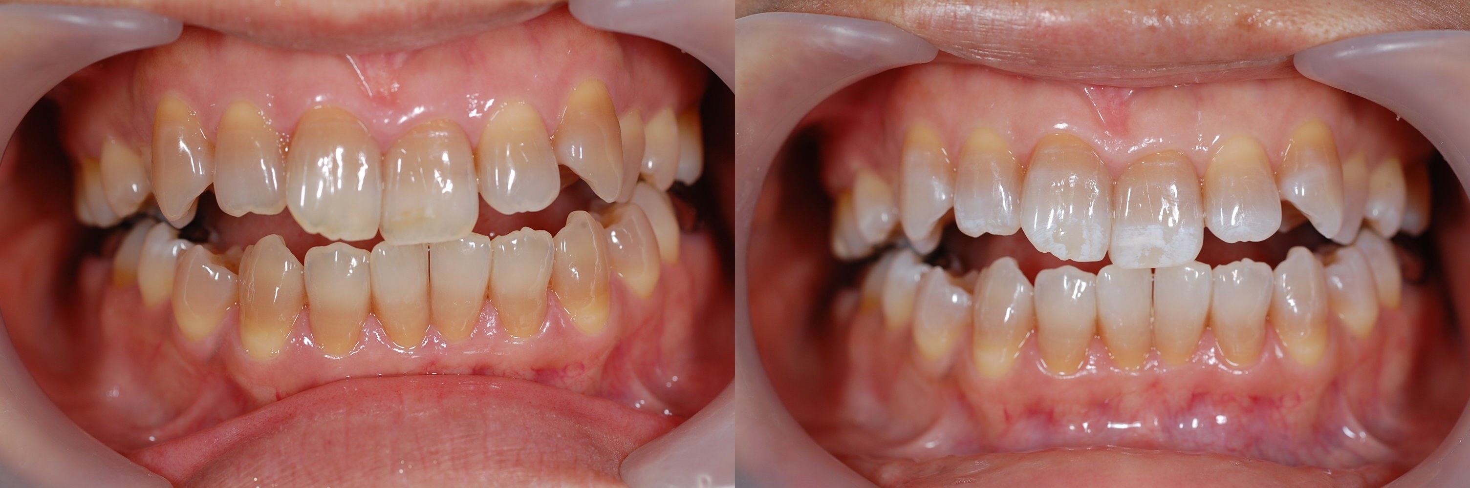
HOME > 症例紹介 > 症例紹介 7

クリックすると大きな画像で見ることができます。

ホワイトニング前       ホワイトニング後
716_11524.jpg

740_11637.jpg

750_11664.jpg

780_22800.jpg

80_4823.jpg

831_12604.jpg

839_12709.jpg

852_13023.jpg

862_12969.jpg

871_13083.jpg

887_13335.jpg

900_13496.jpg

92_2572.jpg

948_14044.jpg

9_1343.jpg