■症例紹介 3



佐賀 低価格で始めるFAPホワイトニング法


HOME > 症例紹介 > 症例紹介 3


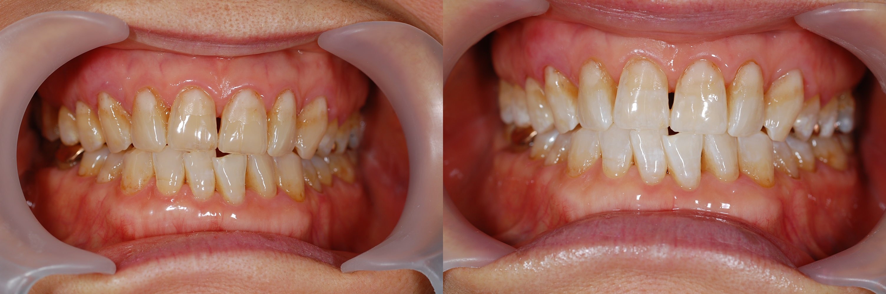
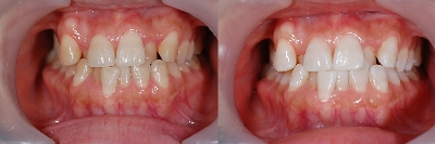
クリックすると大きな画像で見ることができます。

ホワイトニング前       ホワイトニング後
118_16937.jpg

1230_19944.jpg

1251_17432.jpg

1278_18203.jpg

1303_17956.jpg

1332_18164.jpg

1335_18425.jpg

136_4044.jpg

1383_18968.jpg

1392_18887.jpg

1396_18942.jpg

1422_19396.jpg

1425_19241.jpg

1463_22684.jpg

1497_20798.jpg

⇒症例紹介 4