■症例紹介 4



佐賀 低価格で始めるFAPホワイトニング法


HOME > 症例紹介 > 症例紹介 4


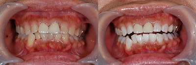
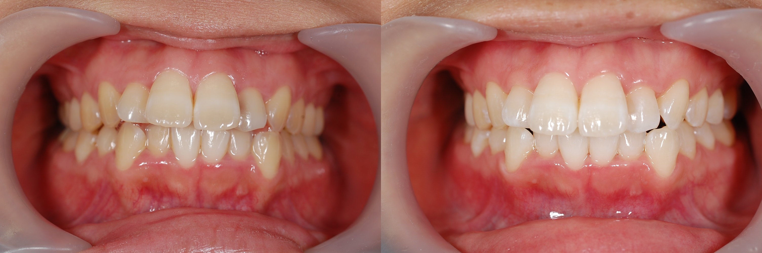
クリックすると大きな画像で見ることができます。

ホワイトニング前       ホワイトニング後
1556_20748.jpg

1559_20795.jpg

1649_23110.jpg

1677_22148.jpg

1700_22265.jpg

1704_22346.jpg

1706_22393.jpg

1711_22450.jpg

1714_22502.jpg

172_4436.jpg

1732_22694.jpg

1738_22653.jpg

173_4598.jpg

1742_22712.jpg

179_4586.jpg

⇒症例紹介 5