■症例紹介 2



佐賀 低価格で始めるFAPホワイトニング法


HOME > 症例紹介 > 症例紹介 2


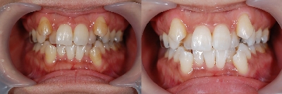
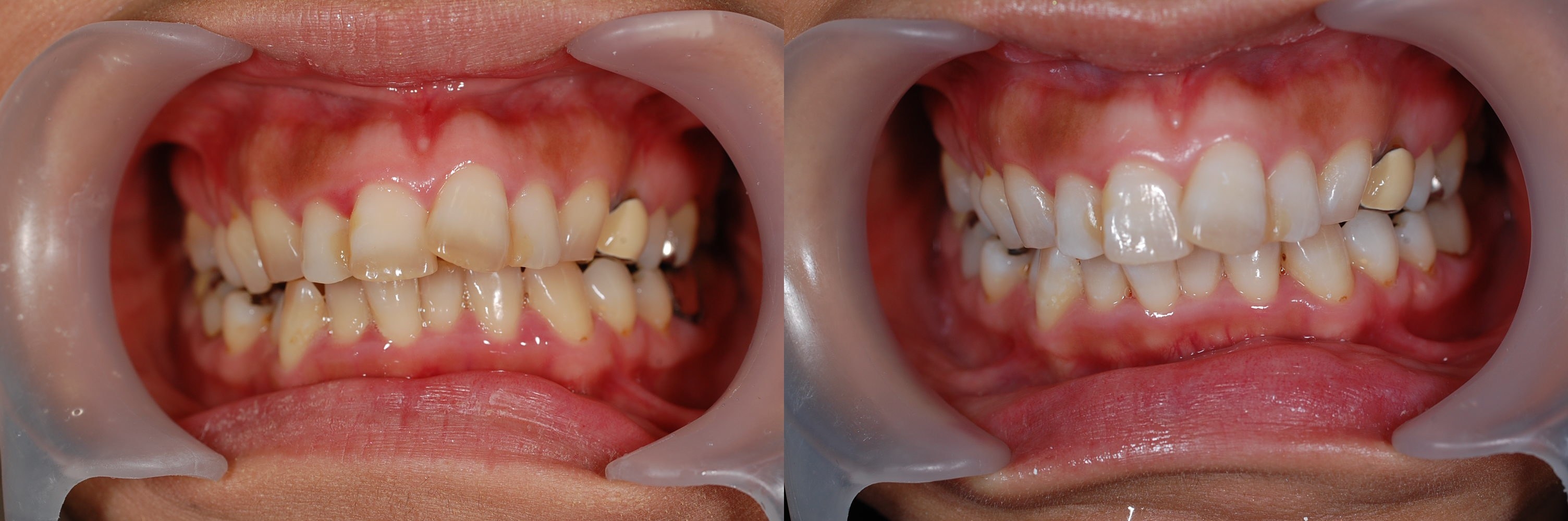
クリックすると大きな画像で見ることができます。

ホワイトニング前       ホワイトニング後
1003_14671.jpg

1010_14848.jpg

104_10916.jpg

1055_15250.jpg

1056_15263.jpg

1057_15276.jpg

1084_15525.jpg

1092_15655.jpg

116_2927.jpg

1176_16503.jpg

117_2949.jpg

1518_20292.jpg

1527_20402.jpg

1543_20696.jpg

⇒症例紹介 3